矯正歯科とは

矯正歯科治療には『見た目の改善』を目的とした審美治療のイメージがありますが、噛み合わせの改善も行える治療です。噛み合わせが悪いと身体の様々な不調の原因になることがあります。正常な噛み合わせは全身の健康の維持や病気のリスクを軽減させます。
見た目だけではなく、心身を健康にする治療です。
錦糸町で選ばれる当院の矯正歯科 3つの特徴
動画で見る当院の矯正治療
一般治療を組み合わせた矯正治療

経験豊富な矯正専門ドクターによる確かな治療

患者様一人ひとりのお口の状態を科学的に分析し、最適な矯正プランをご提案します。また、学会や専門セミナーへの定期的な参加を通じて、常に最新の知識と技術を習得し、質の高い医療を提供できるよう研鑽を続けています。
患者様ひとりひとりに合わせたオーダーメイド矯正治療

なぜ歯並びは悪くなる?
歯並びが悪くなる原因として「日本人は顎が小さいから」とよく聞きますが、こうした遺伝的な骨格よりも、むしろ生活習慣の悪さが原因で歯並びが悪くなることが多いのです。
例えば、以下のような原因で歯並びが悪くなります。
- 日常的な癖 :指しゃぶり、唇や爪を噛む、舌で歯を押し出す、頬杖をつくなど
- むし歯 :むし歯で乳歯を抜く必要がある場合、後ろに並ぶ歯が前にズレて永久歯のスペースがなくなる
- 口呼吸 :口呼吸しやすいよう舌が下方に落ち込み、その影響で顎が未発達になって歯並びが悪くなる
- 噛み方の問題 :やわらかいものばかり食べると、歯並びの形成や顎の発達が行われなくなる
- 小帯の異常 :唇や頬、舌の裏側についているスジが太かったり短かったりすると歯並びに影響を与える
- 遺伝的なもの :顎の大きさや形などはある程度遺伝で決まるため、それが原因になることもある
矯正治療がおすすめな歯並びの種類と症例

矯正治療は、見た目の改善だけでなく、噛み合わせや発音の向上にも役立ちます。歯並びが整うことで、顔の印象が大きく変わり、美しさやハンサムさが増すことがあります。以下の症状がある方は、ぜひ一度ご相談ください。
出っ歯(上顎前突)

受け口(下顎前突)

乱杭歯/叢生

開咬

すきっ歯/空隙歯列

過蓋咬合

矯正歯科のメリット・デメリット
メリット
1. 審美性の向上
矯正治療により歯並びが改善されると、美しい笑顔が得られ、自信を持って笑えるようになります。
2. 横顔の改善の改善
前歯の位置を調整することで、顔の横顔の(プロファイル)が整い、全体的な見た目のバランスが向上します。
3. かみ合わせの改善
矯正治療は審美的な効果だけでなく、かみ合わせの改善にも大きな効果があります。良いかみ合わせの条件としては以下が挙げられます。
• 上下顎の歯が適正な位置関係でかみ合っていること
• 上下顎の歯が安定してかみ合う際に、顎関節の位置も安定していること
• 全身の姿勢やバランスとかみ合わせが調和していること
かみ合わせが悪いと、歯だけでなく、顔のゆがみや頭痛、肩こりなど、全身の健康状態にも影響を及ぼします。
デメリット
発音に影響することもある
舌が歯の裏側の装置に触れるため、装置が邪魔になり、以前のように発音しにくくなる場合があります。しかし、矯正装置に1ヵ月程度で慣れることが多く、発音の問題は徐々に解消されます。
虫歯や歯周病になりやすい
ワイヤー矯正は患者さんが自分で装置を付けたり外したりすることができません。矯正装置があることで、歯ブラシの毛先が歯の表面に当たりにくく汚れが残りやすくなります。そのことでむし歯や歯周病のリスクが高まります。
違和感や舌に痛みがでることがある
装置を取り付けると違和感が生じたり、無意識に舌が装置に触れて傷ができたり、口内炎が発生することがあります。これにより、痛みを感じることもあります。
慣れるまで食事がしにくい
硬い物を噛みづらかったり、食べ物が矯正装置の隙間に挟まりやすくなるため、慣れるまでは食事がしにくいことがあります。時間とともに適応しやすくなりますが、初めは少し不便に感じるかもしれません。
矯正歯科治療の種類
矯正歯科治療と聞くと、歯に金属の矯正装置を装着するイメージがありますが、あくまでそれは矯正治療の種類の1つです。錦糸町の歯医者・歯科「ホワイトデンタルクリニック錦糸町 墨田区」では、目立たない矯正装置、即座に矯正治療が出来るセラミック矯正をご用意しております。


着脱式の透明なマウスピースが矯正装置となります。
特徴としては、非常に薄いので他人に気付かれにくく、なおかつ食事や歯磨きの際に取り外せるのがメリットです。
ただし、軽めの不正咬合しか対処できないというデメリットもあります。


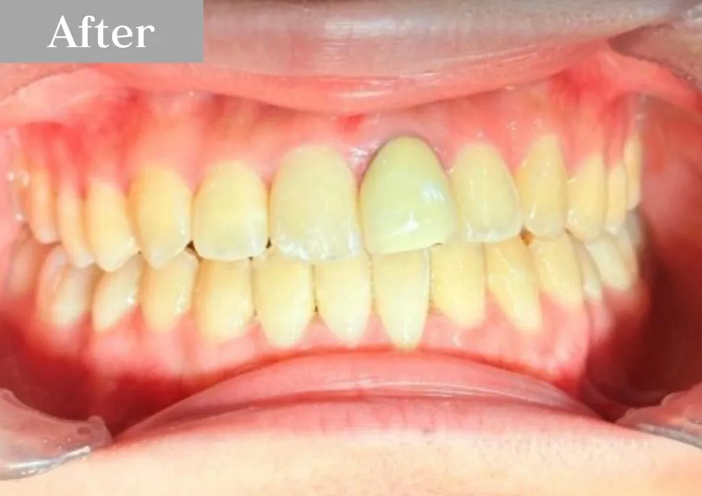
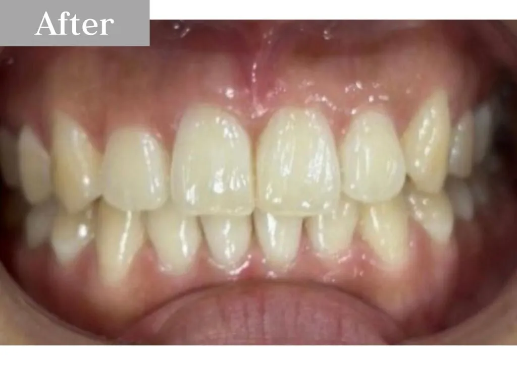
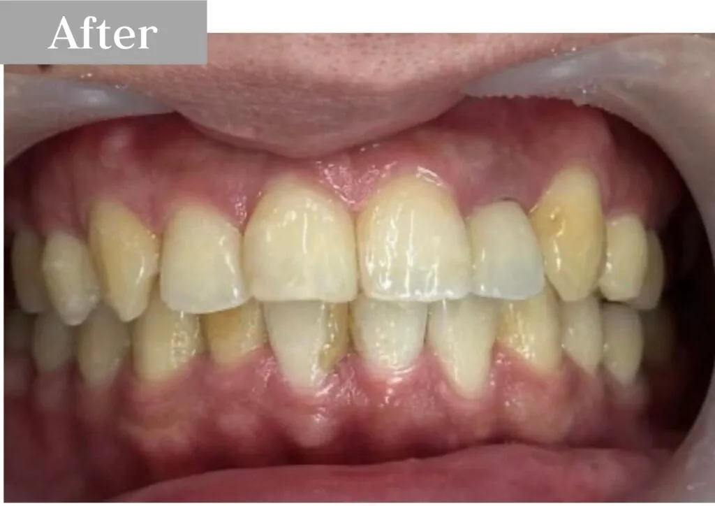
症例一覧
20代女性 治療期間 8ヶ月


20代女性 治療期間 7~8ヶ月


20代女性 治療期間 7~8ヶ月


矯正歯科治療の具体的な流れと期間

1 無料矯正相談

2精密検査(型取り・写真撮影)

3 診断

4 矯正治療開始

5 定期的な治療、経過観察

6 保定
治療期間と通院頻度の目安
矯正治療の期間は、歯並びの状態や使用する装置、抜歯の有無などによって大きく変わります。ここでは患者さまから特に質問が多い「全体矯正」「部分矯正」「通院頻度」について、一般的な目安をご紹介します。
全体矯正は歯列全体に装置を装着し、すべての歯を大きく動かす治療です。
中等度〜重度の不正咬合(ガタガタが強い、八重歯、出っ歯や受け口など)を改善するため、歯を並べるスペースを作る目的で抜歯が必要になるケースも多く、歯の移動量が大きいことが特徴です。
そのため、全体矯正の治療期間はおおよそ1〜2年が目安となります。
症状によっては2年以上かかることもありますが、治療計画の精度や患者さまの協力度(通院・装置の使用)によって短縮できる場合もあります。
部分矯正は、主に前歯の2〜8本を対象にした比較的軽度の矯正治療です。
すきっ歯や軽度のガタガタ、わずかな前突など、部分的な歯並びの乱れに適しています。
全体矯正と比べて歯の移動距離が短いため、治療期間は3〜6ヶ月程度と短期間で終了することが多いのが特徴です。
ただし、噛み合わせ全体の改善が必要な場合は適応外となるため、診査診断で「部分矯正で治せるか」を慎重に判断します。
矯正治療中の通院頻度は装置によって異なりますが、基本的には月1回程度の来院が一般的です。
・ワイヤー矯正・裏側矯正:月1回の調整
・マウスピース矯正:1〜3ヶ月に1回のチェック
・治療初期はIPR(歯と歯の間をわずかに削って隙間を作る処置)、アタッチメント装着、アンカースクリュー設置などで不定期に来院が必要な場合もあり
装置の交換やワイヤー調整を適切なタイミングで行うことにより、治療の進行がスムーズになり、理想的な期間での完了につながります。
錦糸町の矯正歯科 費用・料金表
ホワイトデンタルクリニック錦糸町では、矯正治療に関する無料相談を随時受け付けています。
ワイヤー矯正、マウスピース矯正(インビザライン)など、装置の種類に関係なく、患者様一人ひとりの歯並びや噛み合わせの状態に合わせてご案内いたします。治療期間の目安や費用感など、気になる点は何でもご相談ください。
ワイヤー矯正
| 全体(全顎)矯正 | 1,100,000〜1,320,000円(税込) |
|---|---|
| 部分矯正 | 220,000〜880,000円(税込) |
インビザライン
| 矯正相談 | 無料 |
|---|---|
| 精密検査 | 33,000円(税込) |
※ご契約の場合、検査費をご返金させて頂きます。
| 上下矯正 | 1,100,000円(税込) |
|---|---|
| 上or下のみの軽矯正 | ~660,000円(税込) |
ケンライン
| 簡易検査 | 3,300円(税込) |
|---|---|
| ムービー検査 | 22,000円(税込) |
※ご契約の場合、検査費をご返金させて頂きます。
| 簡易検査 | 3,300円(税込) |
|---|---|
| ムービー検査 | 22,000円(税込) |
※ご契約の場合、検査費をご返金させて頂きます。
矯正治療に関するよくある質問
- 小学校中学年で前歯と6歳臼歯が生えたころに始めることが一般的です。ただし、受け口のお子様の場合、3歳ごろから始めることもあります。矯正相談は無料ですので、心配な時はいつでもご相談ください。
- 歯茎が健康であれば、年齢を問わず矯正治療を受けることができます。
- 治療後2〜3日(大人の方では4〜5日)は噛むと少し痛みを感じることがありますが、普通に食事をとることができます。
- 治療後2〜3日(大人の方では4〜5日)は噛むと少し痛みを感じることがありますが、その後は普通に食事をとることができます。
- 固定式装置の場合、硬いもの(氷、するめ、芋けんぴ、ガリガリ君)や粘着性のあるもの(キャラメル、ハイチュウ)、前歯でかじるもの(りんご、トウモロコシなど)は装置が外れる可能性があるため、控えていただくと安心です。
- 結婚式でブラケットが気になる場合、ワイヤーを白くしたり、見える部分の装置を外したりすることができます。妊娠中のブラケットは胎児には影響ありませんが、体調不良や出産時の通院が難しい場合はご相談ください。
- 新しい勤務地や新居の近くの矯正歯科医師を紹介いたします。紹介先には初診時の検査結果、治療方針、治療経過を記録した資料を提供します。また、遠方でも通院希望がある場合はスケジュールを相談し、継続治療が可能です。
- 歯を抜いた方が全身の健康に良いと判断した場合、抜く治療と抜かない治療の両方を提案します。患者様のライフスタイルと希望を考慮し、最適な治療を一緒に選びましょう。
- 原則として保険適用はありませんが、顎変形症の治療(顎の手術を伴う矯正)の場合は保険が適用されます。この場合は専門医院を紹介します。
- 審美目的の矯正治療は医療費控除の対象外です。ただし、咬合障害のある方は医療費控除の対象になることがあります。
- 通常、月に1回の通院が必要です。治療を早く進めたい場合は週に1回の通院も可能です。一人ひとりに合わせた治療スケジュールを提案しますので、ご相談ください。
- 歯並びが悪いと虫歯や歯周病になりやすく、歯の寿命が短くなることがあります。また、歯並びが整うことで食事がしやすくなり、自信を持って笑えるようになるなど、心理的な良い効果も得られます。
- 症例によりますが、全顎矯正の場合、平均して3年程度かかります。期限がある場合はご相談ください。歯並びが悪いと虫歯や歯周病になりやすく、歯の寿命が短くなることがあります。また、歯並びが整うことで食事がしやすくなり、自信を持って笑えるようになるなど、心理的な良い効果も得られます。
- 小児矯正は、乳歯と永久歯が混在している時期に行い、永久歯が生えるスペースを確保し、顎のバランスを整えます。成人矯正は、全ての歯が永久歯に生え変わった後に行い、歯並びと噛み合わせを改善します。

監修/医療法人社団文成会 ホワイトデンタルクリニック錦糸町 院長 片桐(坂場)雄司
「怖くない・通いやすい歯科医院」を目指し、患者様の緊張や不安に寄り添う医療を提供しています。日本大学松戸歯学部を卒業後、大学病院や法人歯科にて臨床経験を積み、2013年に錦糸町で開業。見た目だけでなく機能性も重視した審美治療を中心に、地域の皆様の健康をサポートしています。

































