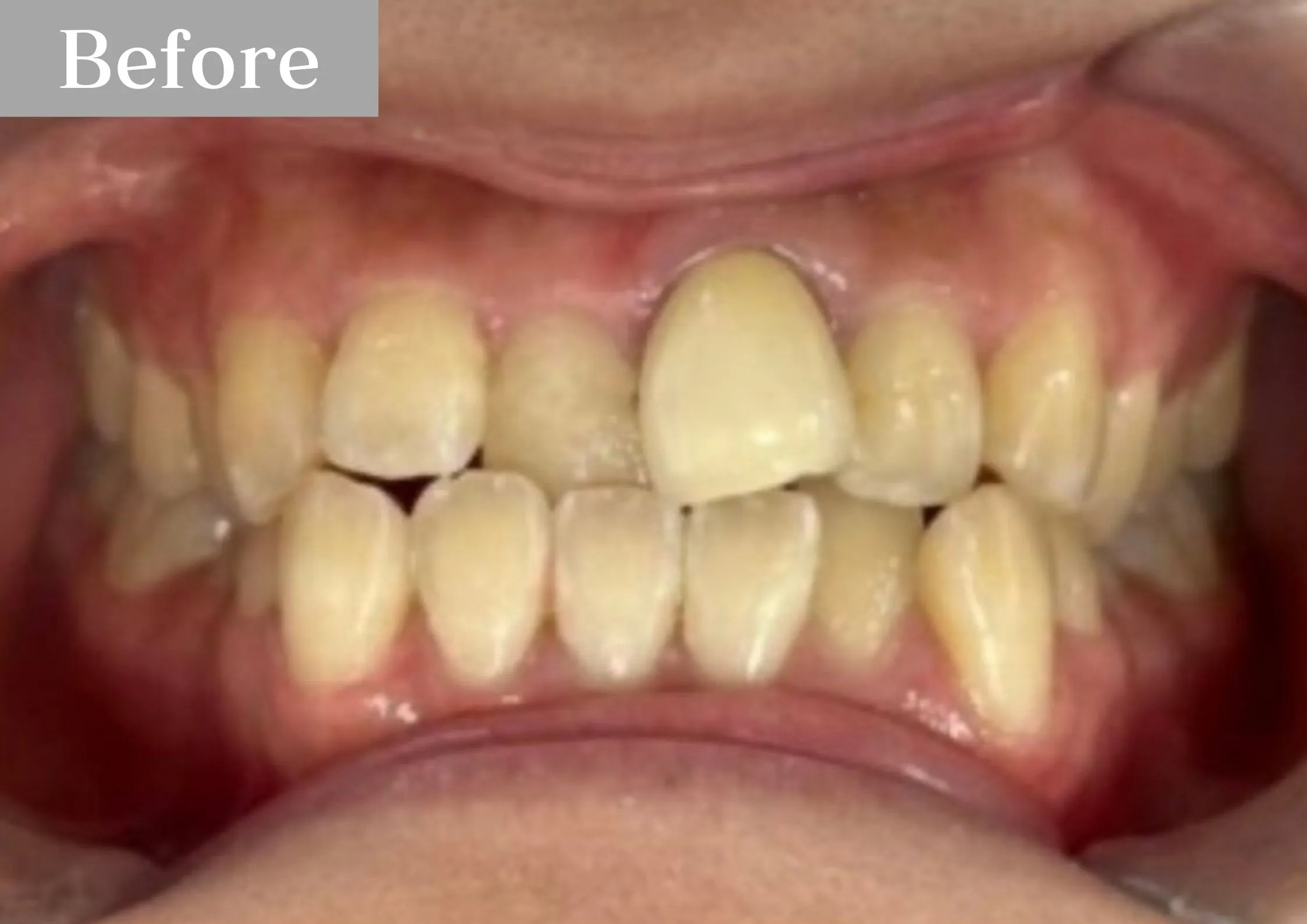
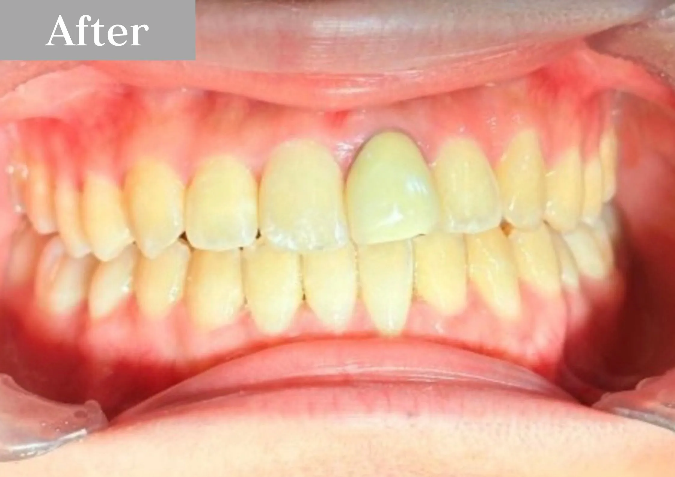
20代女性「歯がガタガタ・デコボコが気になる」(叢生)マウスピース矯正で治療した症例
治療前

治療後

| 主訴 | 「歯がガタガタ・デコボコが気になる」(叢生)とご相談いただきました。 |
|---|---|
| 診断結果 | 拝見したところ、歯並びが前後に出ている状態でした。 |
| 治療内容 | マウスピースで矯正可能と診断し、インビザラインという透明な矯正装置で治療を進めました。マウスピース型矯正は治療中でも取り外しができるため、歯ブラシや食事はいつもどおりしていただけます。 症例によっては適用できない場合もありますので、検査の上でご希望と合わせて一緒に判断していきます。 |
| 治療期間 | 8ヶ月 |
| 費用 | 1,100,000円(税込) |
| 経過 | 治療後も後戻りはなく、結果に大変ご満足いただけました。 現在も、定期検診でご通院いただいています。 |
| この治療のリスク | ・矯正治療は正しく保定をしない場合、後戻りを起こす可能性があります。 ・歯の移動に伴い、痛みが出る場合があります。 |
ホワイトデンタルクリニック錦糸町







































